Get The Smile You Want

Voted Best Implant Dentist in Kern County

Implant Dentist in Bakersfield, CA

Restoring Smiles With Implant Dentistry

Tooth loss can affect more than just your smile — it can impact your confidence, ability to chew and overall health. Our implant dentist and team provide advanced solutions through implant dentistry in Bakersfield, Bakersfield, offering a durable and natural-looking option for restoring missing teeth. With careful planning, advanced imaging and a personalized approach, we help patients regain function and aesthetics with lasting results. Our goal is to rebuild your smile with comfort, precision and long-term success in mind.

Implant dentistry is a reliable and modern solution for those seeking to restore their oral health. Our general dentists and dental specialists in Bakersfield work closely with each patient to determine the best path forward, always prioritizing comfort, safety and long-term function. Whether you are missing one tooth or several, we are here to help. Call today to schedule your consultation and learn more!

Learn More

Meet the Implantologist

Dr. Richard Casteen

Dr. Richard Casteen is a Bakersfield native who has provided implant dentistry since 1989. As a diplomate of the American Board of Oral Implantology and a fellow of the American Academy of Implant Dentistry and the Misch Implant Institute, he brings an advanced level of precision and expertise to each procedure. With a background rooted in both technical skill and compassionate care, Dr. Casteen takes time to understand his patients’ needs. He is committed to restoring the comfort, function and beauty of every smile. Reach out today to schedule your consultation with our implant dentist in Bakersfield, CA, and learn more!

Why Choose Dental Implants

Dental implants offer a permanent, natural-looking solution for missing teeth. They restore not only the appearance of your smile but also its function and strength. Unlike traditional replacements, implants preserve jawbone health and do not affect surrounding teeth. Our Bakersfield implant dentist may recommend implants for their durability, comfort and long-term benefits. With the right care, they can last for decades, making them a smart and lasting investment in your oral health and confidence.

Single Tooth Replacement

When one tooth is lost, replacing it with a dental implant maintains the integrity of your bite and prevents shifting in adjacent teeth. Our general dentists and dental specialists in Bakersfield, CA, will carefully plan your implant placement to ensure stability, comfort and a natural appearance. This option avoids the need to alter nearby healthy teeth, providing a long-lasting and conservative solution that seamlessly blends with your smile while also offering dependable strength and function.

Full Arch Implants

For patients missing most or all of their teeth, full-arch dental implants provide a secure and lasting alternative to removable dentures. This treatment uses a series of implants to support a full set of prosthetic teeth. Our implant dentist in Bakersfield, CA, will design each restoration to feel stable, comfortable and lifelike. Full-arch implants improve chewing, speech and appearance while preventing bone loss. Many patients find this option more comfortable, efficient and natural than traditional dentures.

Advanced Technology

Our implant dentistry process is guided by advanced digital technology to ensure precise planning and placement. By combining state-of-the-art technology with experience, our general dentists and specialists achieve accurate, efficient results with improved comfort and faster recovery. This modern approach minimizes guesswork and maximizes safety. Every treatment is customized using detailed data, allowing us to restore your smile with greater predictability, less invasive procedures and a better overall patient experience from start to finish.

Tooth Replacement Options

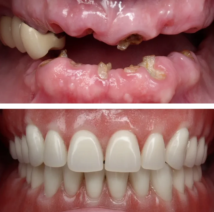
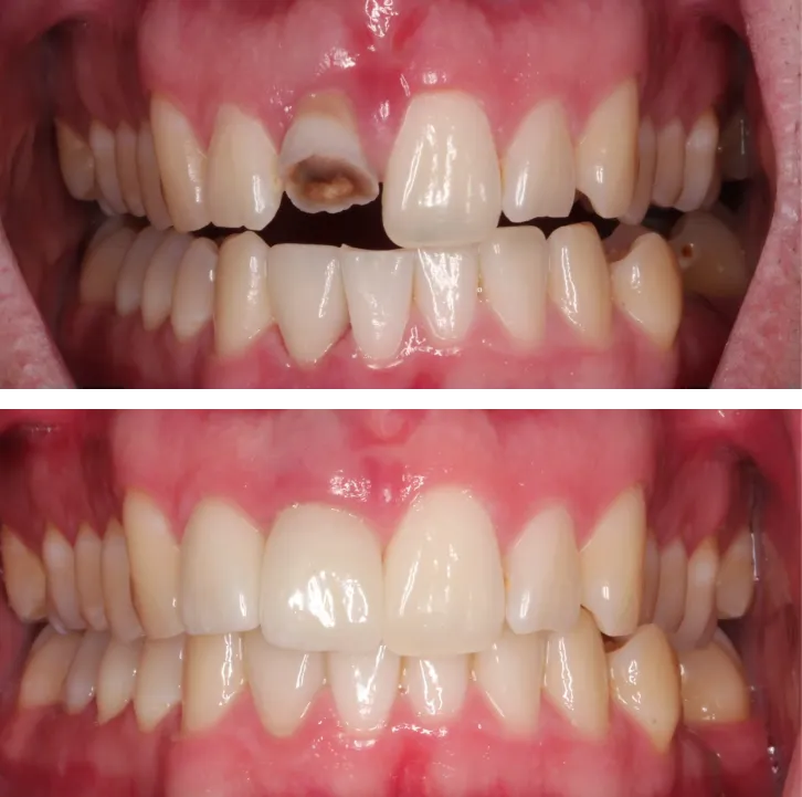
Rebuilding Smiles, Restoring Confidence

After photo 1
After photo 2

Still Have Questions?
Our Top FAQs.

Dental implants are a major investment in your long-term health and confidence, and it is normal to have questions. Our Bakersfield, CA, implant dentist and team are here to provide guidance every step of the way. Below are answers to some of the most frequently asked questions about implant dentistry and what to expect.

Are dental implants safe?

+

Yes, dental implants are considered very safe when placed by trained professionals. Our implant dentists in Bakersfield, CA, use advanced imaging and planning techniques to ensure precision and reduce risk. With proper care, implants integrate naturally with the bone, creating a stable and long-lasting foundation for your restoration. Most patients enjoy excellent outcomes and long-term success.

How long do implants last?

+

Dental implants can last decades or even a lifetime with proper care. Good oral hygiene, regular dental visits and a healthy lifestyle all contribute to their longevity. The implant itself is designed to be permanent, while the attached crown or denture may need replacement after years of daily use.

Does the procedure hurt?

+

Most patients report minimal discomfort during and after implant placement. Our implant dentist will use local anesthesia and may recommend sedation for added comfort. After the procedure, mild soreness is normal but temporary. We provide clear aftercare instructions and support to ensure your healing process is smooth and manageable.

Who is a candidate for implants?

+

Most healthy adults with missing teeth and sufficient jawbone density are candidates for dental implants. Our general dentists and specialists conduct thorough evaluations, including imaging and a review of your medical history, to determine suitability. Even if you have been told you are not a candidate elsewhere, we may have solutions for you.

Enjoy Membership Menefits

No insurance? No problem. Our in-house membership plan is designed to make quality dental care more affordable and accessible for individuals and families. Members receive routine preventive care and discounts on other treatments — all with no deductibles, waiting periods or yearly maximums. Our dentists and team believe that cost should never stand in the way of your oral health, and our membership option is one more way we help patients maintain healthy, confident smiles year-round.